1. VÄLTÄ IMPLANTTIIN KULMASSA TULEVIA PURENTAVOIMIA, SUOSI IMPLANTIN SUUNTAISIA PURENTAVOIMIA

2. KAPEA OKKLUSAALIALUE

3. KUSPIT MATALAKSI

4. EMERGENSSIPROFIILI

5. PURENTA KEVYEKSI

6. LAAJAT KONTAKTIALUEET

Kuvat ja lähde https://www.youtube.com/watch?v=0TZbiDVzZPM

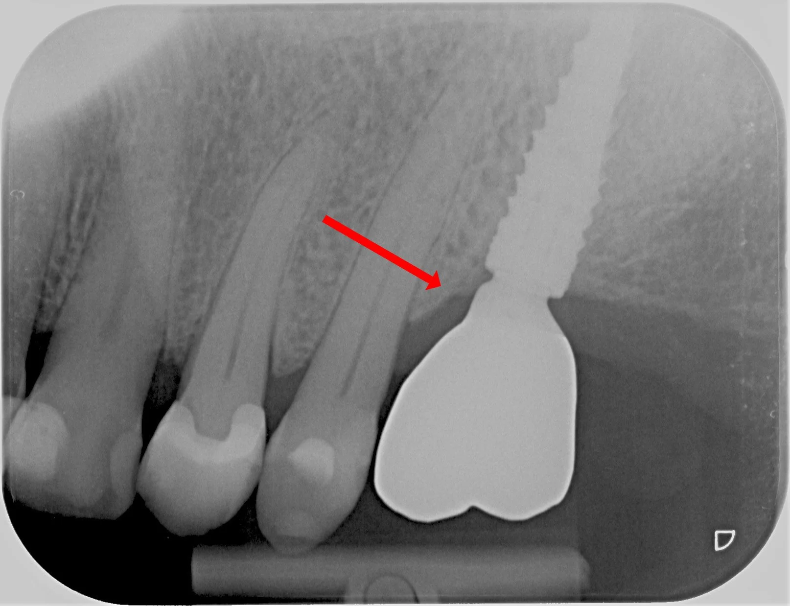
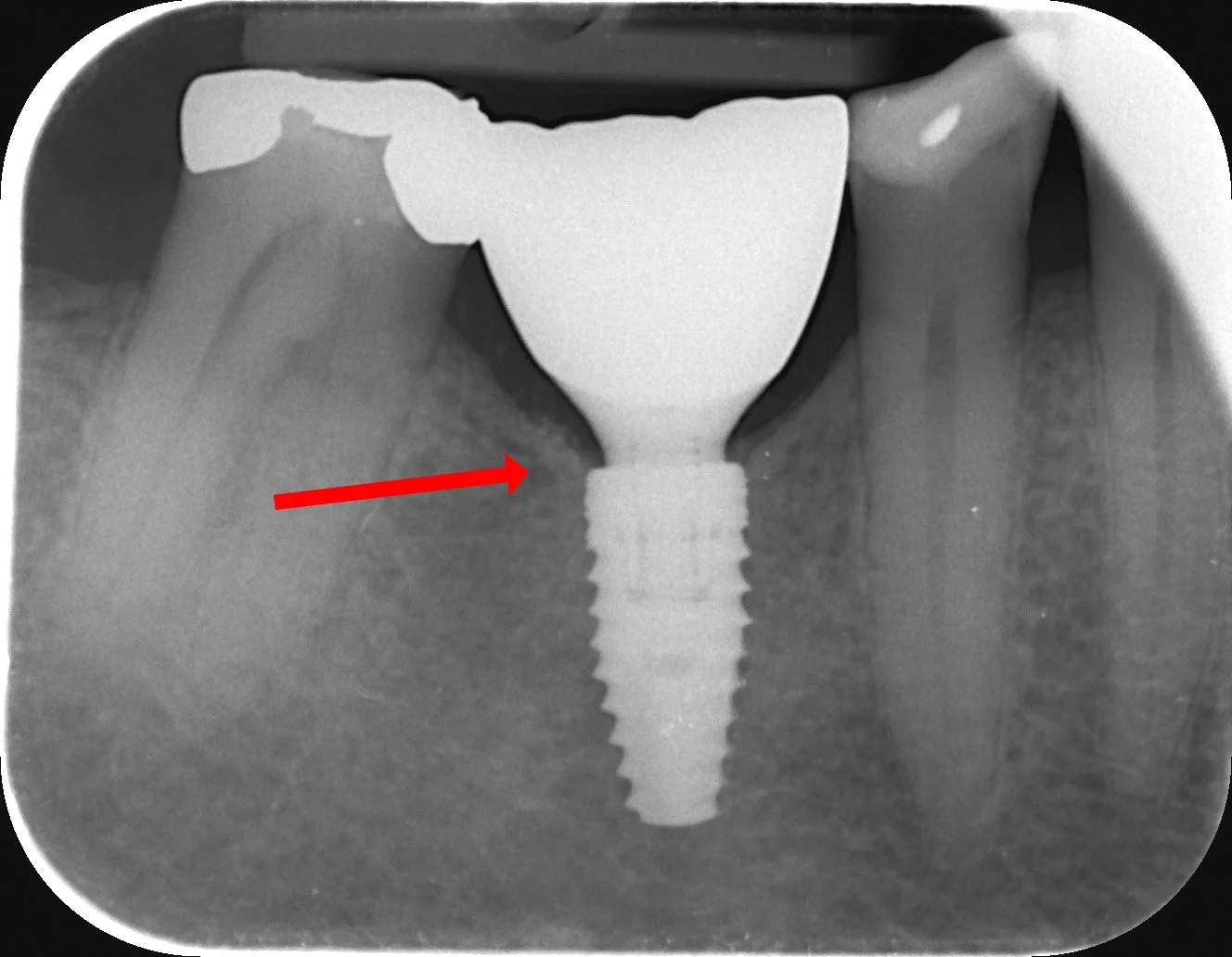
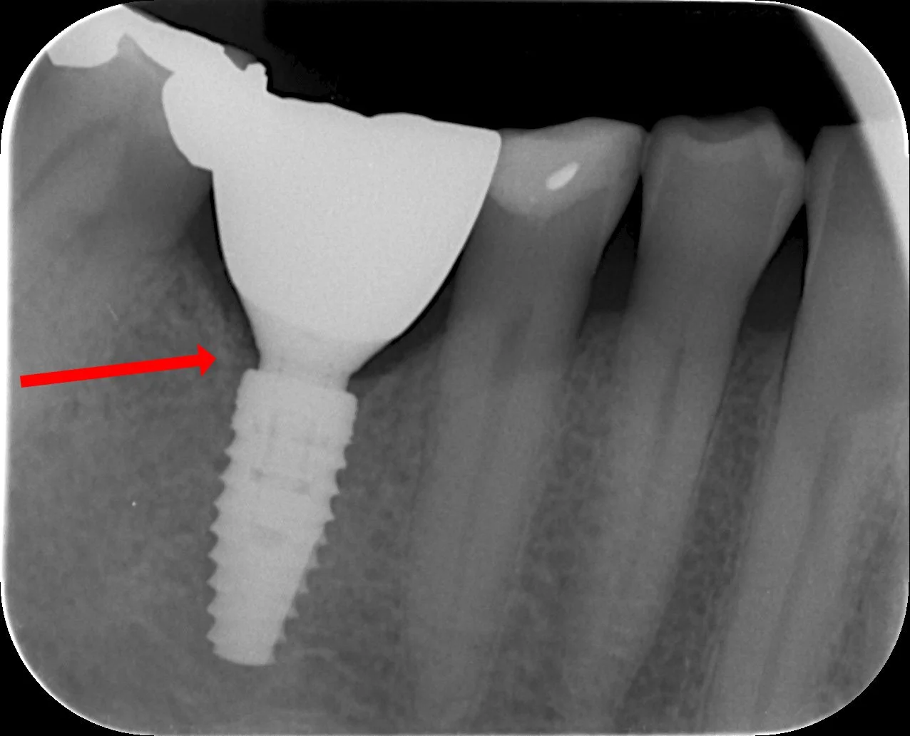
JATKEONGELMIA

Jatke painaa mesiaalisesti ja aiheuttaa kipua potilaalle yli 6kk ajan

Kruunu irrotettu, jatke hiottu ja kiillotettu. Vaiva poistunut.

Jatke painaa distaalisesti ja aiheuttaa kipua potilaalle vuoden ajan

Kruunu irrotettu, jatke hiottu ja kiillotettu. Vaivat poistuneet.